Le tout céramique (Couronne Céramo-Céramique)

Les tout nouveaux matériaux céramiques utilisent une diffusion optimale des rayons lumineux à travers la structure reconstituant la dent et permettent d’obtenir un résultat qui s’apparente au plus près à la dent naturelle. L’absence d’armature métallique empêche l’apparition inesthétique au bout de quelques années d’un liseré grisâtre au bord gingival, source de désagrément pour le patient.

Exemple de couronne « tout céramique » sur incisive centrale.

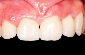
Exemple de couronne « tout céramique » sur incisive centrale.

La Sécurité sociale rembourse aujourd’hui la couronne tout céramique sur la base d’une couronne classique.

Date de mise à jour : 15/07/2014